Implantologie
Estetică dentară
Cazuri clinice
Servicii
Implantologie
Estetică dentară
Chirurgie dento-alveolară
Ortodonție
Albire Dentară
Pedodonție
Endodonție
Paradontologie și Profilaxie
Tomografie Computerizată
Pacienții noștri
Prețuri
Contacte
(+373) 78 33 81 81
RO
EN
RU
RO
EN
RU
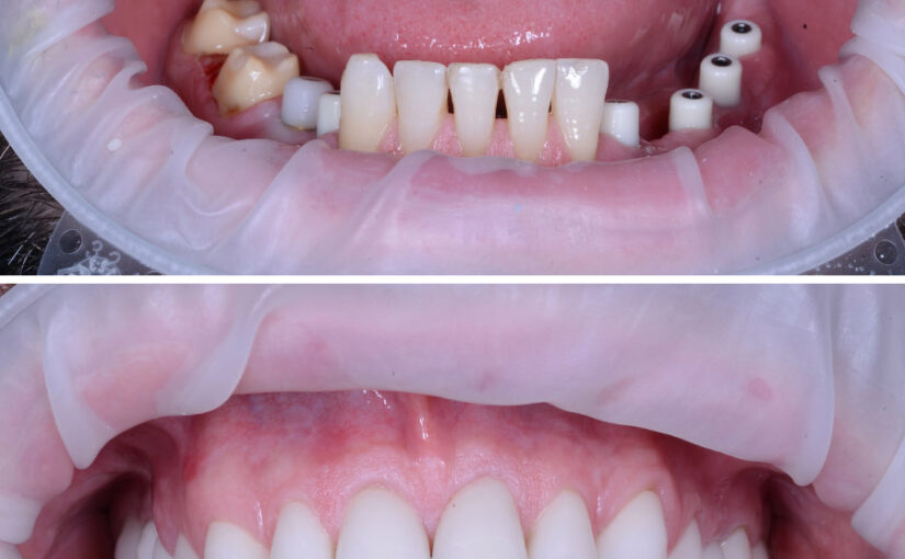
Cazul 7
11 noiembrie