Implantologie Dr. Ungureanu

Estetică dentară

Estetica dentară combină arta și știința pentru a-ți oferi un zâmbet sănătos, strălucitor și natural. Prin tratamente personalizate, specialiștii noștri pun accent pe echilibrul dintre funcționalitate și frumusețe, adaptând fiecare procedură la fizionomia și dorințele tale.

Zâmbete refăcute cu grijă și precizie

Prin tehnologie modernă și expertiză medicală, redăm pacienților încrederea de a zâmbi din nou, cu rezultate vizibile și durabile.

Dr. Ungureanu
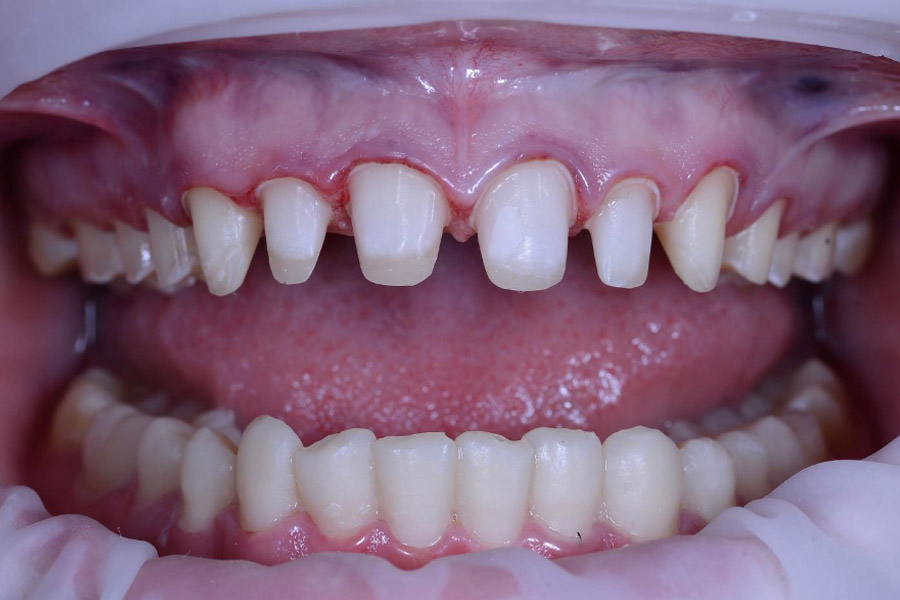
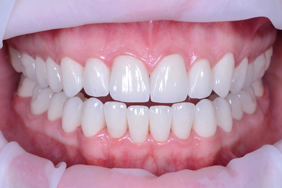
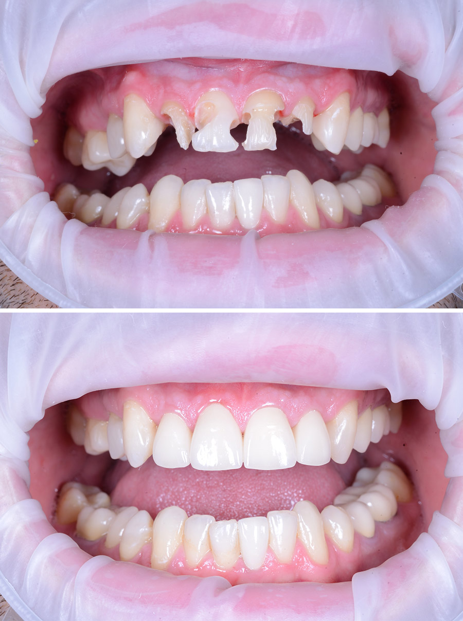
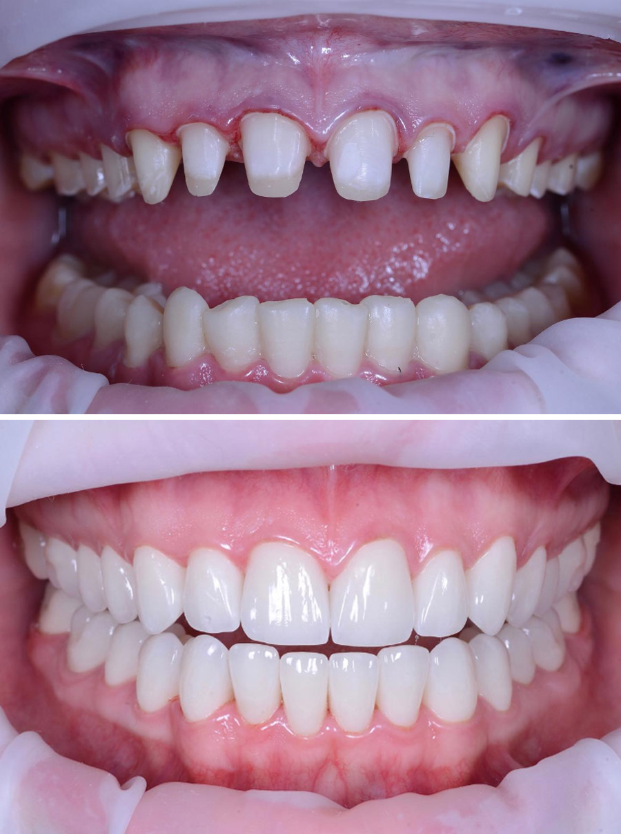
Cazuri Clinice
Cazuri Clinice
Cazuri Clinice
Cazuri Clinice
Cazuri Clinice
Cazuri Clinice
Cazuri Clinice

Pentru cine sunt fațetele dentare

Dr. Ungureanu

Dinți ciobiți, uzați sau fisurați

pentru a reda forma naturală.

Dr. Ungureanu

Dinți pătați sau decolorați

care nu se pot albii eficient prin metode obișnuite.

Dr. Ungureanu
Dr. Ungureanu

Spații între dinți (diasteme)

pentru a închide golurile mici.

Dr. Ungureanu

Dorința estetică

de a avea un zâmbet mai alb și simetric

Etapele unui tratament estetică dentară

Dr. Ungureanu
Dr. Ungureanu
Before
1

Consultație inițială și evaluarea estetică

2

Planificarea digitală a zâmbetului

3

Igienizarea profesională și tratamentele preliminare

4

Procedurile estetice propriu-zise

5

Proba și ajustările finale

6

Control și întreținere

Relații construite pe încredere. Rezultate care inspiră.

Dr. Ungureanu

Cereți rapid o consultație

Dr. Ungureanu

    Făcând clic pe buton, dați acordul cu termenii de prelucrare a datelor cu caracter personal.

    Recenziile pacienților noștri fericiți!

    4.8
    Stea de recenzie Stea de recenzie Stea de recenzie Stea de recenzie Stea de recenzie

    44 de recenzii Google

    Ecaterina Selestean

    Stea de recenzie Stea de recenzie Stea de recenzie Stea de recenzie Stea de recenzie

    Am avut o experiență foarte bună cu domnul doctor Cristian și asistenta lui, sunt profesioniști si foarte atenți. Sunt foarte mulțumită de serviciile oferite și de cât de bine a decurs totul. Cu siguranță voi reveni dacă va mai apărea vreo problemă. Îl recomand cu încredere!

    Rusnac Nicolae

    Stea de recenzie Stea de recenzie Stea de recenzie Stea de recenzie Stea de recenzie

    Stomatologia este extraordinar de bună! Mai ales personalul fiind binevoitor și foarte profesionist! Dacă sunteți la fel ca și mine, și anume aveți frica de tot ce este legat de stomatologie, sincer recomand! Am doar experiență pozitivă și plăcută la această clinică stomatologică!

    Gicu Hincu

    Stea de recenzie Stea de recenzie Stea de recenzie Stea de recenzie Stea de recenzie

    The place is really modern and outstanding. Exceptional professionals ensure qualitative work with no pain. Superb customer service. Always enjoy coming back here and trust them greatly. Fully recomended

    Zaporojan Luminita

    Stea de recenzie Stea de recenzie Stea de recenzie Stea de recenzie Stea de recenzie

    Am rămas foarte mulțumită de serviciile oferite de această clinică! Sunteți o echipă minunată!👍🥰

    Medici specialiști

    Dr. Ungureanu
    Dr. Ungureanu

    Ghenadie UNGUREANU

    medic șef - terapeut/protezist
    Dr. Ungureanu

    Eva UNGUREANU

    medic stomatolog generalist
    Dr. Ungureanu

    Vitalie FILAT

    medic stomatolog chirurg
    Dr. Ungureanu

    Mihaela UNTU

    medic stomatolog generalist
    Dr. Ungureanu

    Cristian BELOUS

    medic stomatolog chirurg
    Dr. Ungureanu

    Iulia POPISTAS

    medic stomatolog chirurg

    Avantajele clinicii Dr. Ungureanu

    Tehnologie avansată

    Folosim tehnologii și echipamente dentare de ultimă generație pentru a ne asigura că pacienții noștri beneficiază de servicii stomatologice de calitate superioară.

    Medici specialiști

    Avem o echipă interdisciplinară formată din medici cu experiență, specializați în diverse domenii ale stomatologiei.

    Servicii complete

    De la consultație la tratamente complexe, oferim soluții stomatologice integrate pentru întreaga familie — totul într-un singur loc.

    Tratamente fără durere

    Folosim tehnici moderne de anestezie locală pentru ca fiecare tratament să fie lipsit de durere și cât mai confortabil pentru pacient.

    Prețuri accesibile

    Venim în ajutorul pacienților cu menținerea unor prețuri avantajoase, fără a face schimbări de la calitate.

    Calitate

    Utilizăm materiale de calitate de la producători cu renume internațional. Oferim siguranță și garanție.

    Diplome și certificări

    Cereți rapid o consultație

    Completați formularul și unul dintre specialiștii noștri vă va contacta pentru a vă oferi soluțiile potrivite. Suntem aici pentru dumneavoastră!

      Făcând clic pe buton, dați acordul cu termenii de prelucrare a datelor cu caracter personal.

      Ce înseamnă estetica dentară?

      Estetica dentară îmbină știința și arta pentru a crea un zâmbet armonios, echilibrat și natural. Prin tratamente personalizate – albire dentară, fațete, bonding sau remodelare gingivală – medicul estetician redă frumusețea și proporțiile ideale ale zâmbetului tău.

      Cine poate beneficia de tratamente estetice dentare?

      Orice persoană care își dorește un zâmbet mai alb, mai uniform sau mai simetric. Tratamentele estetice se adresează atât celor cu imperfecțiuni minore (colorări, spații între dinți), cât și pacienților care doresc o transformare completă a zâmbetului prin planificare digitală.

      Care sunt cele mai populare proceduri estetice?

      Printre cele mai solicitate tratamente se numără albirea profesională, fațetele dentare, remodelarea gingivală și reconturarea dinților. Acestea contribuie la obținerea unui zâmbet perfect, natural și personalizat fiecărui pacient.

      Rezultatele estetice sunt durabile?

      Da, rezultatele pot fi menținute ani de zile dacă sunt respectate indicațiile medicului: igienă orală corectă, controale periodice și evitarea obiceiurilor nocive. Tratamentele moderne asigură stabilitate, rezistență și o estetică de lungă durată.

      Estetica dentară - zâmbet perfect