logo
  • Implantologie
  • Estetică dentară
  • Cazuri clinice
  • Servicii
    • Implantologie
    • Estetică dentară
    • Chirurgie dento-alveolară
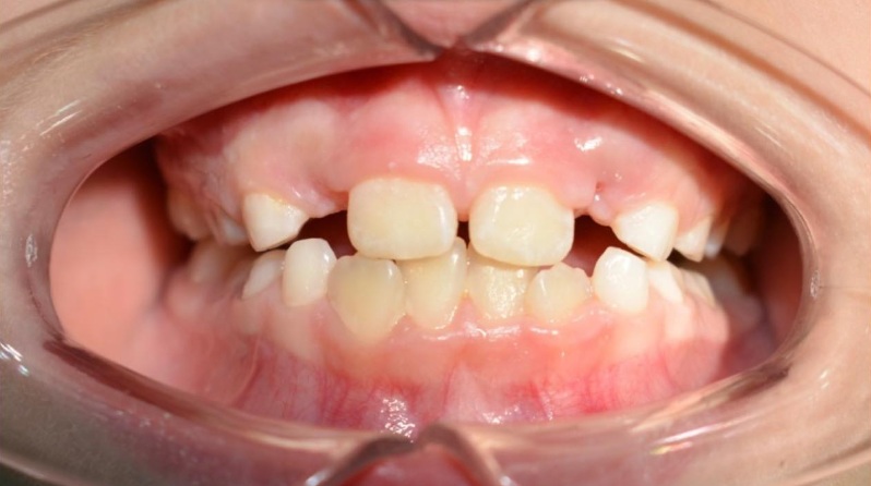
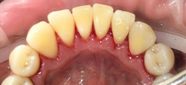
    • Ortodonție
    • Albire Dentară
    • Pedodonție
    • Endodonție
    • Paradontologie și Profilaxie
    • Tomografie Computerizată
  • Pacienții noștri
  • Prețuri
  • Contacte
  • (+373) 78 33 81 81
  • Romanian RO
    • English EN
    • Russian RU
  • Romanian RO
    • English EN
    • Russian RU
Dr. Ungureanu
Dr. Ungureanu Dr. Ungureanu Dr. Ungureanu
Menu
  • Servicii
  • Cazuri clinice
  • Pacienții noștri
  • Prețuri
  • Contacte
Contacte

Dr. Ungureanu Bulevardul Decebal 91, Chișinău

Dr. Ungureanu +373 22 63 81 81

Dr. Ungureanu +373 78 33 81 81

Dr. Ungureanu smile@ungureanu.md

Program

Luni-Vineri: 09:00 – 18:00

Sâmbătă: 09:00 – 13:00

Duminică: Închis

©2026 Dr Ungureanu. Toate drepturile rezervate.Made by MinCode Group

Termeni și Condiții

Politica de Confidențialitate