Periodontology and Prophylaxis

Periodontology and prophylaxis work together to maintain healthy gums and teeth. Prophylaxis aims to prevent periodontal disease through professional cleaning, scaling, and patient education on maintaining oral hygiene. Periodontology intervenes when inflammation or bone loss occurs, through treatments such as subgingival scaling, curettage, or anti-inflammatory therapies. Together, these procedures ensure stable teeth, healthy gums, and a balanced smile in the long term.

Periodontology and Prophylaxis

Periodontology is the branch of dentistry dedicated to the diagnosis, prevention, and treatment of gum diseases and the supporting tissues of the teeth (alveolar bone, periodontal ligament). Periodontal conditions such as gingivitis and periodontitis can lead to gum recession, tooth mobility, and in severe cases, tooth loss.

What periodontal treatment includes:

  • Complete consultation and assessment: periodontal pocket measurement, X-rays, and personalized plan.
  • Scaling and subgingival curettage: deep cleaning of tartar and bacteria below the gum line.
  • Anti-inflammatory and antimicrobial treatment: local or systemic solutions to eliminate infection.
  • Gingival grafts or bone regeneration (if necessary): for the reconstruction of affected tissues.
  • Regular monitoring: scheduled checks to maintain results.

Benefits:

  • Stops the progression of periodontal disease and prevents tooth loss.
  • Reduces inflammation, sensitivity, and gum bleeding.
  • Contributes to an aesthetic smile and fresher breath.
  • Improves overall health by reducing the risk of associated conditions (cardiovascular disease, diabetes).

Dental prophylaxis represents the first line of defense against dental problems. Through regular check-ups and professional cleaning procedures, this service helps prevent cavities, gum diseases, and other oral conditions.

What prophylaxis includes:

  • Consultation and comprehensive evaluation: assessing the overall condition of teeth and gums.

  • Ultrasonic scaling: removal of bacterial plaque and tartar, the main factors in periodontal disease.

  • Professional polishing: smoothing and shining the tooth surfaces.

  • Airflow (baking soda jet): removal of superficial stains and fine deposits.

  • Fluoride treatment: application of a protective fluoride layer to strengthen the enamel.

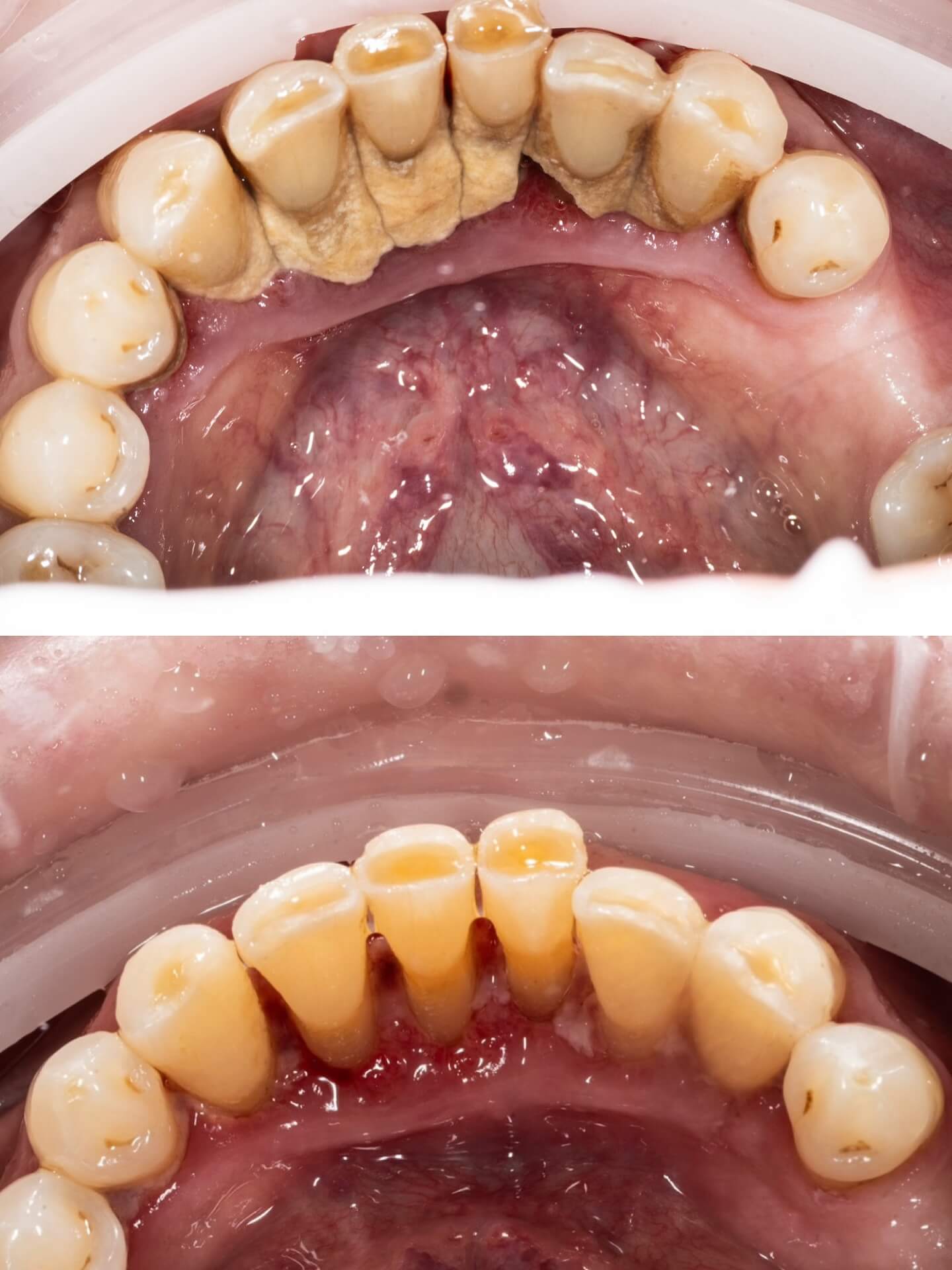
Înainte și după tratament

Dr. Ungureanu Dr. Ungureanu

Why choose our clinic

  • Experienced team: specialists in periodontology with ongoing training and proven results.

  • Modern technology: minimally invasive treatments, dental laser, and state-of-the-art equipment for enhanced comfort.

  • Personalized plan: each patient receives a strategy tailored to the stage of the disease and their individual needs.

  • Comprehensive care and long-term support: from diagnosis to maintaining gum health, we are your partners for a lasting smile.

Recommendation: A periodontal check-up every 6 months is essential to maintain gum health and avoid complex treatments.

Echipamente moderne

State-of-the-art equipment

We work with advanced technology and state-of-the-art equipment for fast, accurate, and comfortable treatments.

Echipă medicală

Experienced medical team

Our doctors undergo continuous training and have extensive experience in providing the safest and most effective solutions.

Atmosferă prietenoasă

Comfort and care for patients

From the initial consultation to the end of treatment, we focus on providing a relaxing and stress-free experience.

Request a consultation quickly

Fill in the form and one of our specialists will contact you to offer the right solutions. We are here for you!

    By clicking on the button, you agree to the terms and conditions for the processing of personal data.